人生倒计时
- 今日已经过去小时
- 这周已经过去天
- 本月已经过去天
- 今年已经过去个月
在现代,很多人在听到一些常规性疾病名称之时,就觉得自己患上了不治之症,必须要马上去医院进行治疗。其实这是没有必要的,在日常生活之中,许多病症并不能对人体造成多大的伤害,而且部分疾病还属于正常的生理现象。
而人们之所以会对这些疾病感到恐惧,一是由于外界的虚假宣传,二是由于自身对于疾病的恐惧。其实完全没有必要这么惊慌,在体检这种时候,发现自己患上了以下九种疾病,一般是不用手术治疗的。切勿听信外界的虚假宣传,也不要输给自己对疾病的恐惧,放松自己的心情,坦然地面对,也许能够痊愈得更快。
一、 宫颈糜烂
很多女性一听到自己患上了宫颈糜烂,就非常的惊慌,认为自己患上了不治之症。但其实不然,宫颈宫颈糜烂其实是一种正常的生理现象,它主要是指宫颈内部的柱状上皮内,由于雌激素过高的原因移到了外部。
从影像上看起来就像是糜烂了一样,但从医学上来说宫颈糜烂属于人体的正常生理现象,是不需要进行特殊的治疗的。除非已经能够明显的感觉到宫颈出现了病变,或者是有了其他病症,那么便需要积极的去医院进行治疗了。
(宫颈糜烂示意图)
宫颈糜烂的预防:宫颈糜烂是不能够预防的,这是一种非常常见的生理现象,与体内的激素以及个人卫生和性生活习惯等等有着非常大的关系。只要在日常生活之中及时地进行卫生清洁,并且保持单一的性伴侣,那么就能在很大程度上防止妇科疾病的感染。至于是否出现宫颈糜烂则没有必要过度担心。
二、 甲状腺结节
近年来,随着甲状腺疾病的患者越来越年轻化,诸多年轻人也开始关注甲状腺的健康。在日常生活中最常见的甲状腺疾病就是甲亢、甲减以及甲状腺结节。甲亢和甲减是需要到医院进行医疗治疗的,而甲状腺结节则不需要过于治疗。
根据数据显示,95%的甲状腺结节都属于良性,不会引起人体的不适。就算是恶性的甲状腺结节也并不需要过度的担心,但也并不能完全毫无顾忌,当甲状腺结节小于1厘米的时候,不需要过多重视,但是若是甲状腺结节已经增长到了1厘米到4厘米之间,就需要注意是否存在恶性甲状腺结节的可能性。
甲状腺结节预防:大部分的甲状腺疾病都与碘元素的缺乏有着非常大的关系,而此时想要预防甲状腺结节则需要合理的掌握碘元素的摄入,这样才能够保证甲状腺的健康。
除此以外,在一日三餐中需要尽量做到饮食均衡,避免食用辛辣刺激的食物。若有条件尽量远离辐射,根据科学表明,放射线对甲状腺具有影响,长时间的辐射有可能会导致甲状腺癌的发生。
三、 心脏早博
心脏早搏一般不会单独存在,都是由其他疾病引起,例如甲亢就会导致心脏早搏。因此若是身体出现了心脏早搏的情况,首先需要查看是否患有其他疾病,在无其他疾病的情况之下,有心脏早搏的情况只需要稍加注意即可。
在平时的时候尽量保持正常的生活作息,多加锻炼。需要注意的是心脏早搏的人群尽量不要出现情绪激动、暴躁、抑郁的状况,这对心脏有一定的影响。
(心脏早搏)
心脏早博的预防:心脏对人体来说是非常重要的,想要预防心脏早搏,在平时的时候一定要调整好自己的饮食习惯。在日常生活中,饮食方面尽量以清淡为主,少吃辛辣刺激的食物,并且养成定时定量饮食的习惯。
此外,劳逸结合,保持乐观的情绪也非常的重要。多数心脏早搏的出现就是由于心情过于沮丧或者是紧张所导致,因此一定要尽量避免情绪过于紧张,以及不要总是生气动怒。
四、 宫颈囊肿
宫颈囊肿和宫颈糜烂一样听起来非常的吓人,许多无良的商家便利用这个名字来对患者进行恐吓,让患者觉得自己患上了宫颈囊肿就和患上了宫颈癌一样担惊受怕。其实完全没有必要这么担心,大部分的宫颈囊肿都属于良性,良性的宫颈囊肿并不需要特殊的治疗,只要在平时多加注意便可。
就算是恶性的宫颈囊肿,也并不是和宫颈癌相对等的。恶性的宫颈囊肿一般需要进行治疗,也并非不治之症,只要遵照医嘱,并且在生活中多加注意,便可以得以康复。
宫颈囊肿的预防:在日常生活中,想要预防宫颈囊肿,首先就一定要注意自身的卫生清洁,女性一定要保持洁净的外阴环境,这样可以保障自己不受到病菌的感染。除此以外,反复的人流会对女性的宫颈造成非常严重的伤害,因此暂时没有生育打算的女性一定要积极地进行避孕工作,以免人流对身体造成伤害。
五、 骨刺
骨刺有一个人们非常熟悉的名字——骨质增生。骨质增生是一种非常正常的衰老现象,同时也是人体的保护机制之一。日常生活中,部分骨质增生会导致人体出现关节疼痛以及活动受限的状况。
但一般来讲,只要患有骨质增生症的地方没有明显的疼痛,不影响生活,那么便不需要做特殊的处理。需要注意的是,若是由于骨质增生引起了关节炎症,那么就要及时地去医院继续治疗,避免造成严重后果。
骨刺的预防:骨刺的出现会生活带来不便,在生活中想要预防骨刺出现的人群,需要避免出现剧烈运动,以防止对骨关节造成损伤。需要注意的是也不可以一直活动,这样对身体有害无益。
六、 肝血管瘤
肝血管瘤主要是受先天影响很大,一般来说,当肝血管瘤小于4厘米的干血管瘤时,都是处于一种保守治疗或者不治疗的状态。而当肝血管瘤大于4厘米,则需要进行药物治疗、放射治疗或者是捆扎治疗等等。
大部分的肝血管瘤是属于良性的,因此患者并不需要特殊的治疗,同时也不会有任何不适的症状。但需要注意的是,在日常生活之中仍然需要多加注意,如果在日常生活中出现了食欲不振、恶心等症状,则需要去医院进行治疗。
肝血管瘤的预防: 因为肝血管瘤的产生虽然与先天因素有着非常大的关系,但是肝血管瘤的后天生长却和日常生活、情绪原因以及饮食习惯等因素不可为关系不大。想要防止干血管瘤的产生,需要在日常生活中多食用新鲜的水果和蔬菜,并且禁止大量的酗酒或者是抽烟,除此以外还要保持良好的心态,最好不要产生大喜、大怒的情况。
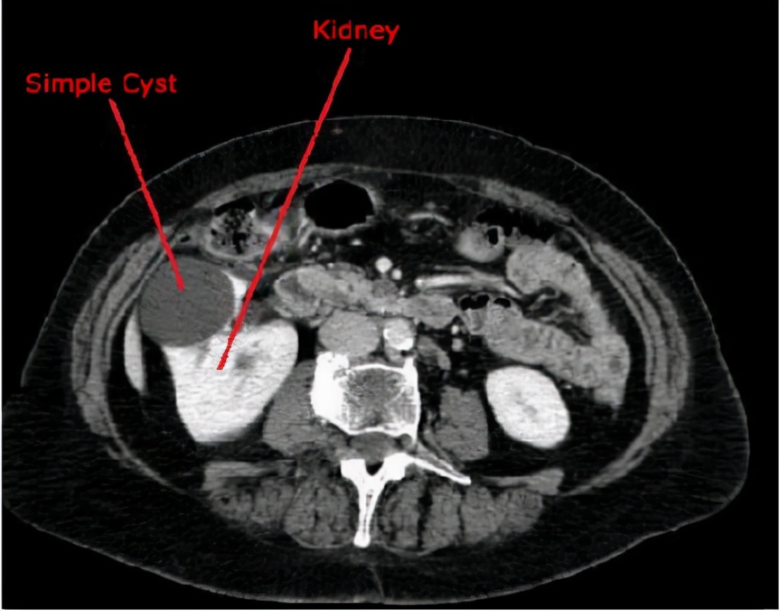
七、 单纯性肾囊肿
单纯性肾囊肿一般常见于中老年的男性,一般来说直径只要不超过2厘米那就不会引起人体的临床症状,也不会对身体的其他器官造成伤害,在日常生活中只需要每年定时的去进行尿常规、肾脏彩超、肾功能的检查就可以了。这种疾病一般是属于后天形成,也并不需要过多地进行特殊治疗。
单纯性肾囊肿的预防:就目前来讲是没有办法直接性的预防单纯性肾囊肿的。单纯性肾囊肿是人体肾脏之中存在单个或者是多个的小囊肿,一般多于体检之中发现。
单纯性肾囊肿若是较小,并且不会引起人体的任何症状,不需要过度的担忧,但若是已经产生了腰酸、腰胀以及其他临床症状,则需要及时的去泌尿外科进行手术,或者是其他治疗。
八、 慢性浅表性胃炎
慢性浅表性胃炎是一种非常常见的疾病,根据数据显示几乎80%到90%左右的人都患有慢性浅表性胃炎。但并不是说慢性浅表性胃炎就一定需要治疗,大多数能看到的慢性浅表性胃炎只是由于功能性消化不良或者是溃疡性消化不良,此时若无其他明显不是症状,那么便持续观察便可。
慢性浅表性胃炎:慢性浅表性胃炎是一种胃部疾病,这种疾病的产生和患者的饮食以及生活习惯有着非常大的关系。因此想要预防慢性浅表性胃炎,则需要拥有科学的生活作息,以及健康的饮食习惯。在日常生活中最好避免食用一些浓烈的香料或者是辛辣刺激的食物,这些对胃部有着不良的影响。
生活作息也尽量规律,不要长期熬夜,这样会导致免疫能力的下降。除此以外,情绪也是影响胃病的一大原因之一。想要远离慢性浅表性胃炎,需要注意不要长时间处于紧张、焦虑等不良情绪之中。最后,尽量减少使用一些对胃部刺激性比较大的食物,例如风湿药物、止痛药物等等。
九、 痔疮
百分之80以上的人都有着患上痔疮的经历。痔疮本身并不是一种可怕的疾病,但痔疮很容易和直肠癌混淆。因为痔疮和直肠癌都会便血。但不同的是痔疮的便血是附着在粪便表面,而直肠癌的便血总是混淆在粪便里。因此在发现自己便血之后,一定要及时地对自己的病情进行分辨,防止身体发生病变而不自知。
痔疮的预防:想要预防痔疮,可以从饮食以及运动方面着手。在饮食方面,平时需要在定时定量进食的同时,多加食用富含粗纤维的食物,这些食物能够在很大程度上防止人体出现便秘从而诱发痔疮。在运动方面,想要预防痔疮的人群可以在平时适当地进行一些提肛训练,这样也对预防痔疮有一定的效果。
总结:
在体检时若是发现了以上9种疾病,不要听信外界谣言或者是一些虚假的广告信息,盲目的担忧。若是不放心可以及时地去正规医院,询问医生该如何处置。切记一定不要惊慌,部分疾病虽然听起来可怕,但是却是一种正常的生理现象,并不会对人体造成额外的伤害,也不会让人体出现不舒服的临床症状。
但是要注意的是,疾病的预防也非常的重要,人体的健康对于日常生活影响非常的大,因此预防工作也必须要积极地进行。总体来说在平时拥有科学的生活作息,健康的饮食习惯以及适当的运动,便能够让自身的健康得到一定的保障。





